ヨークシャテリア 13歳
【飼い主様からの主訴】
3日間の元気・食欲低下、嘔吐
【症状】
元気・食欲低下、嘔吐
【検査内容】
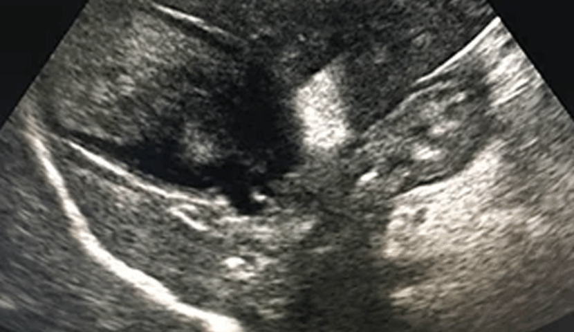
・血液検査・レントゲン検査・超音波検査
身体検査で黄疸を確認。血液検査で重度の肝数値の上昇、超音波検査で胆嚢内に粘液が重度に貯留し、拡張した胆嚢と胆嚢周囲の炎症を疑う所見を確認。


| 本症例は胆嚢粘液嚢腫および急性胆嚢炎と診断。手術自体は迅速に終了しましたが、急性胆嚢炎に伴う腹腔内臓器の障害もあり、長期入院が必要となりました。 退院後も定期的な通院にて肝臓や腎臓のケアを行っています。やはり状態が悪くなってからの手術は、術後の管理が難しく合併症も多いことから、その後もさまざまなケアが必要になってきます。 状態が悪くなる前の早期の診断・治療が重要です。 |