ラブラドール・レトリーバー 0歳11ヶ月 オス
【飼い主様からの主訴】
枕のスポンジを誤食した翌日から元気がない
吐きたそうにするが吐かない
【症状】
食欲・元気の低下
少し咳をしている
スポンジは翌日に便と一緒に排泄された
【検査】
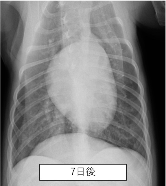
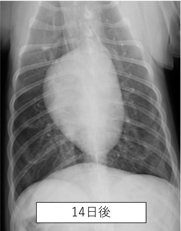
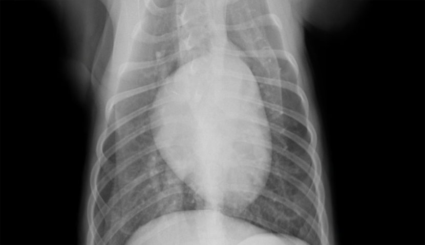
胸部のレントゲン撮影にて肺野全体の不透過性亢進(白く見える部分)が認められた。
血液検査にてCRP(炎症を示す検査項目)が高値であった。



| 誤嚥性肺炎とは、唾液や食べ物、胃液、吐物などの異物を吸引してしまうことで生じる肺炎です。加齢などにより気道反射が低下している動物や短頭種(パグやブルドッグなど)で起こりやすいと言われています。 本症例は上記の条件に当てはまりませんが、スポンジをかじる中で細かい粒子を吸い込んでしまった可能性があります。 幸いにも、本症例は抗生物質の投与により2週間ほどでレントゲン画像所見は消失し治療終了となりましたが、場合により致命的な状態まで悪化してしまうこともあります。早期発見・治療が重要です。 |