雑種猫 2歳
【飼い主様からの主訴】
元気がない、呼吸が速い
【症状】
前日から急性の呼吸促迫、元気・食欲低下、発熱
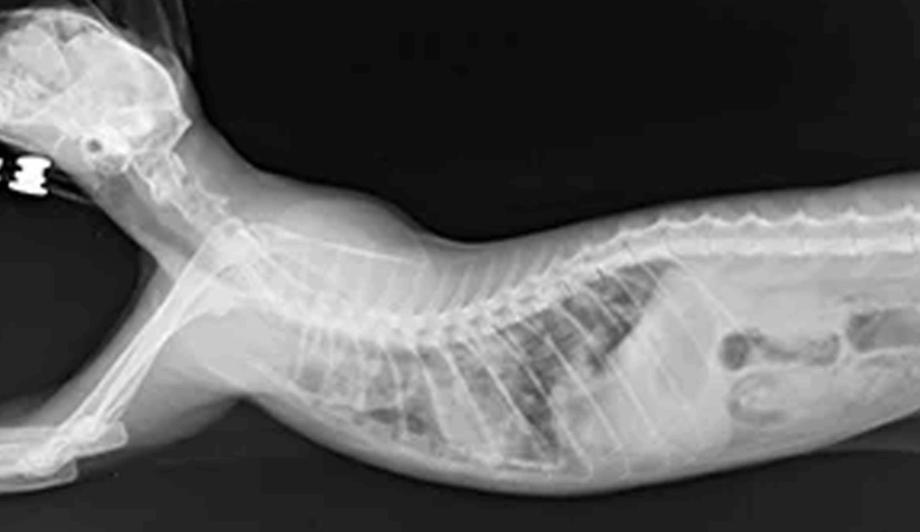
【検査内容】
血液検査で白血球数の上昇、レントゲン検査で肺野全体の不透過性亢進が見られ、肺炎と診断。


| 若い猫に多い疾患です。来院時は呼吸困難の状態だったため、数日間ICUの酸素室で集中治療を行いました。細菌感染が原因であることも多く、点滴と積極的な抗生剤治療で改善しました。現在は元気に日常生活を送っています。 |
【年中無休】埼玉県 川口・鳩ヶ谷・蕨・東浦和・東京都北区赤羽の動物病院
【飼い主様からの主訴】
元気がない、呼吸が速い
【症状】
前日から急性の呼吸促迫、元気・食欲低下、発熱
【検査内容】
血液検査で白血球数の上昇、レントゲン検査で肺野全体の不透過性亢進が見られ、肺炎と診断。


| 若い猫に多い疾患です。来院時は呼吸困難の状態だったため、数日間ICUの酸素室で集中治療を行いました。細菌感染が原因であることも多く、点滴と積極的な抗生剤治療で改善しました。現在は元気に日常生活を送っています。 |