ミニチュアダックスフント 5歳 オス
【症状】
進行性脊髄軟化症(PMM)は、脊髄が進行性に壊死していく極めて重篤な疾患です。
発症すると、数時間から数日のうちに麻痺が急速に進行し、最終的には呼吸筋にまで障害が及ぶことで死に至ることがあります
特に椎間板ヘルニアに続発して発症することが知られており、臨床上十分な注意が必要です。
MRI画像 Cornal断面

椎間板が脊髄に腹側から圧迫している

椎間板が脊髄に腹側から圧迫している
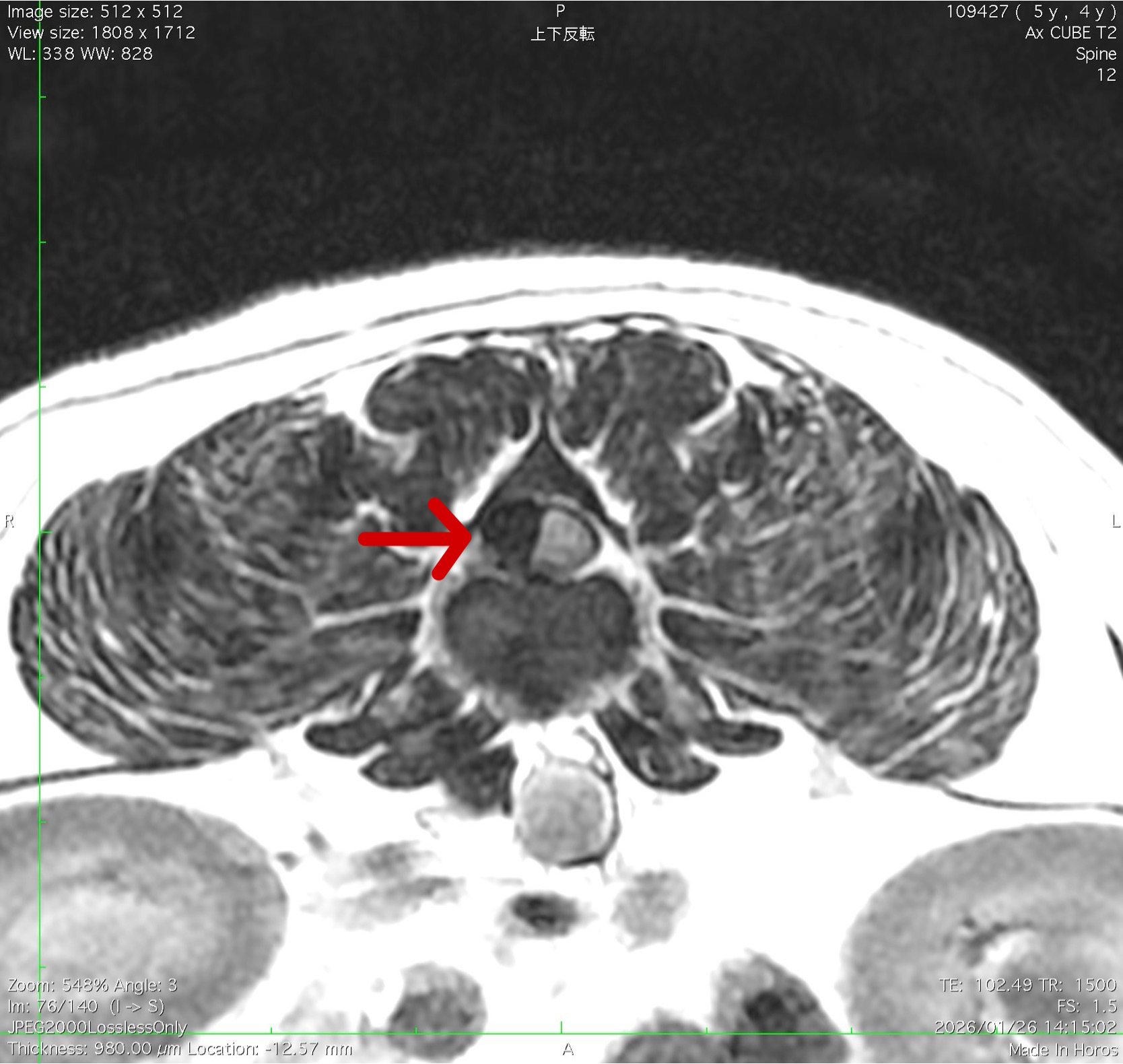
MRI画像 横断面

椎間板が脊髄に右側から圧迫している

椎間板が脊髄に右側から圧迫している
MRI画像 矢状断面

脊髄の広範囲の浮腫・脊髄軟化症を疑う所見
【治療内容】
PMMに対する外科的治療として、広範囲片側椎弓切除術および硬膜切開術の併用が報告されています。本術式は後肢麻痺の改善は期待できないものの、脊髄内圧の減圧を目的とし、生命予後の改善が期待される治療法です。
今回、PMMと診断した症例に対して本術式を実施した結果、救命することができました。術後2か月が経過した現在も、一般状態は良好であり、安定した経過を維持しています。
術中写真

広範囲片側椎弓切除 硬膜切開術を実施
| 本術式の適応にはいくつかの条件があり、例えば前肢に神経症状が認められないことや、MRI検査による病変範囲の評価が可能であることなどが挙げられます。 当院では、わらび院にて整形外科・神経外科外来を実施しており、各種インプラントやCアームなどの高度な整形外科設備を備えています。 同様の症状がみられる場合には、ぜひ一度ご相談ください。 |