猫の骨盤は交通事故や高所からの落下など、大きな外力が加わることで骨盤が折れることがあります。
骨盤は複数の骨(腸骨、坐骨、恥骨)が組み合わさってできており、骨折するとその形が崩れてしまいます。骨折を放置すると、ずれた骨がそのままの位置で固まってしまい、骨盤の内径が狭くなることがあります。これを「骨盤狭窄」を言います。
骨盤は腸が通るトンネルのような構造をしているため、狭くなると次ような問題が起こります。
- 慢性的な便秘 便秘による結腸の拡張(巨大結腸症)
- 排便時の疼痛
- 便秘による食欲低下、体重減少
治療としては早期の骨折の整復や骨盤の拡張手術が必要になることがあります。
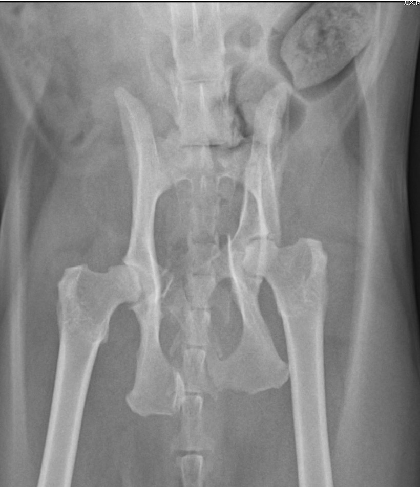
この症例は車で下半身を轢かれてしまい「左の腸骨、恥骨、坐骨の骨折」と診断しました また尿路の損傷を検査するために尿路造影検査も行っています。
骨折による激しい疼痛と、歩行困難の治療、骨盤狭窄による排便困難を予防するため、手術を行いました。
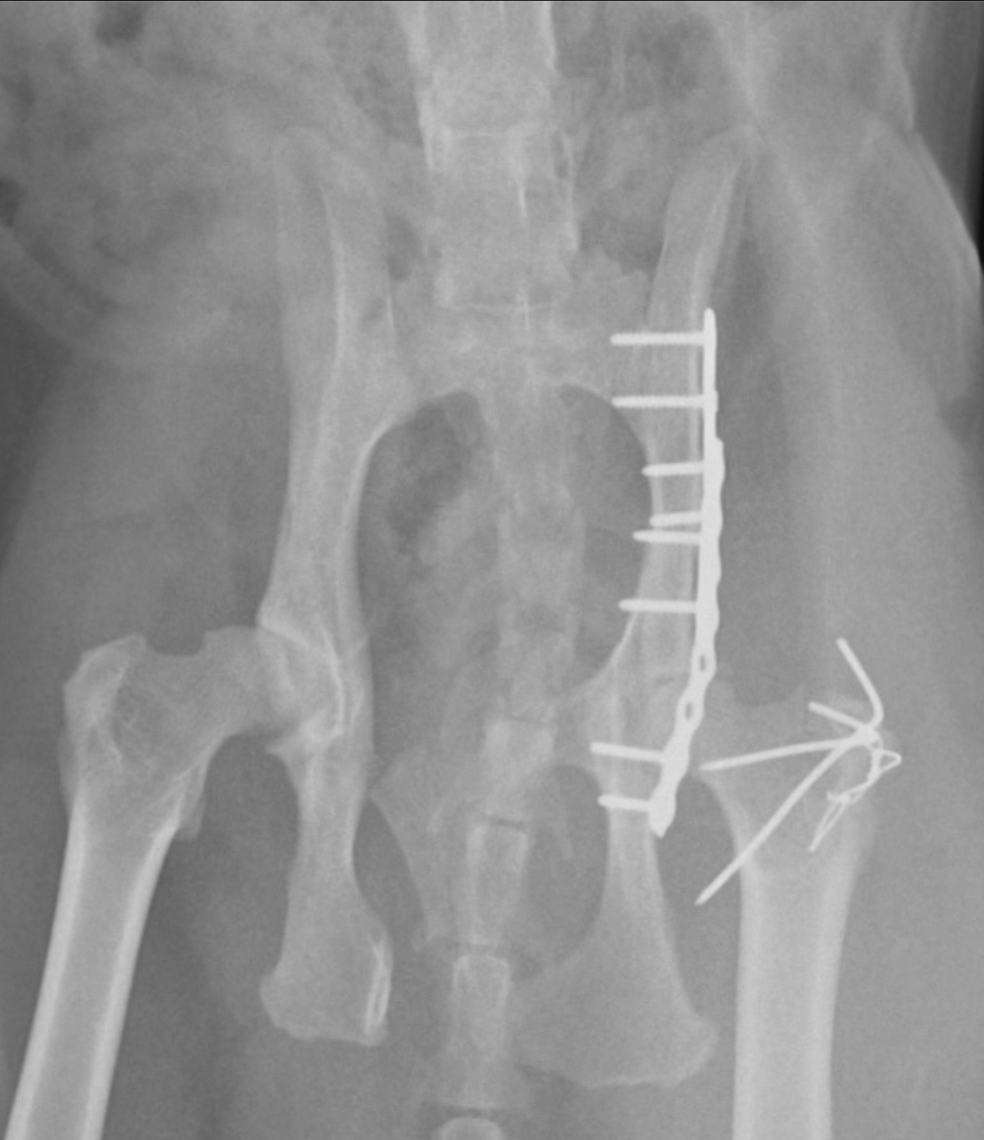
左腸骨の骨折に対して、プレート法を実施しています。(ロッキングプレートを2枚使用)
整復前の骨盤骨折のレントゲン


手術中の写真


膀胱、尿道の造影X線検査


手術後のレントゲン写真


種別 |
年齢 |
性別 |
その他コメント |
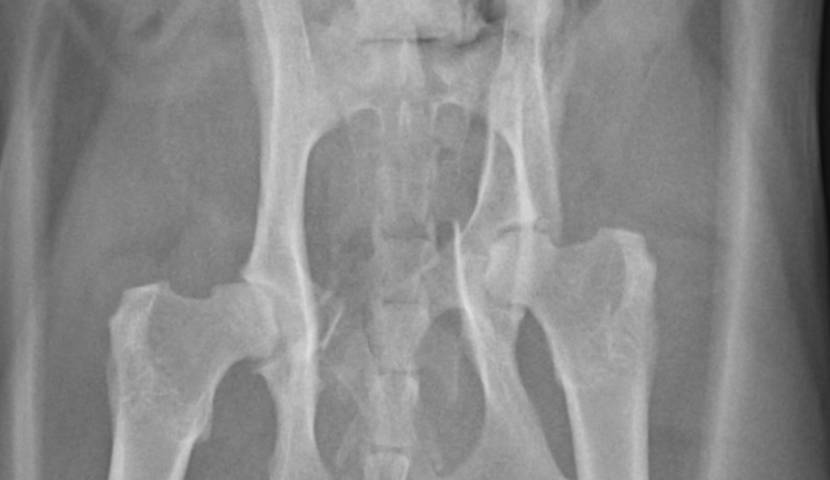
| この猫ちゃんは手術して5ヶ月を経過しておりますが、歩行、排便に問題がなく、良好な経過を辿っております。 早期に手術を行うことで、骨折に伴う疼痛の改善、将来的な骨盤狭窄の予防ができます。 当院では整形外科外来をわらび院で行っており、高度な整形外科の設備(各種インプラント、Cアームなど)を整えております。 このような症状があれば是非一度ご相談ください。 |